+918048068641
Currently it only shows your basic business info. Start adding relevant business details such as description, images and products or services to gain your customers attention by using Boost 360 android app / iOS App / web portal.
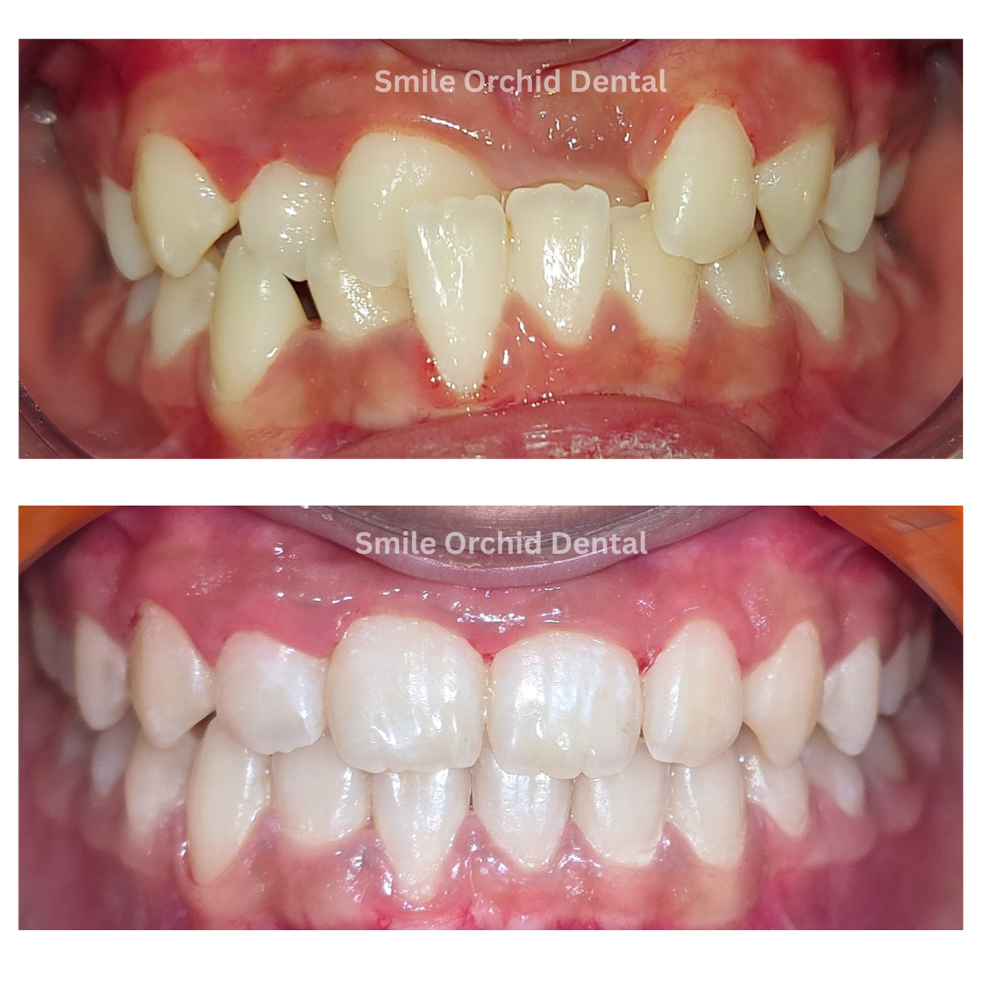
Transform Your Smile with Expert Care at Smile Orchid Dental Clinic, Kilpauk 🌸 At Smile Orchid Dental Clinic, Kilpauk, we believe every smile has a story. Our advanced dental treatments and personalized care are designed to bring out the best version of your smile. ✨ Here’s a glimpse of a real before & after transformation — showing how professional dental care can correct alignment, restore function, and enhance confidence. Our team specializes in: Invisalign & Braces for teeth correction Smile makeovers for chipped, stained, or uneven teeth Dental implants & restorations Preventive and family dentistry 📍 Visit Smile Orchid Dental Clinic, Call us now at 07200221777 your trusted dental clinic in Kilpauk, for your Dental care and Confident smile. 📞 Book your consultation today and take the first step towards your dream smile!